Our Research

Defining the role of glutathione peroxidase 3 in eosinophilic esophagitis
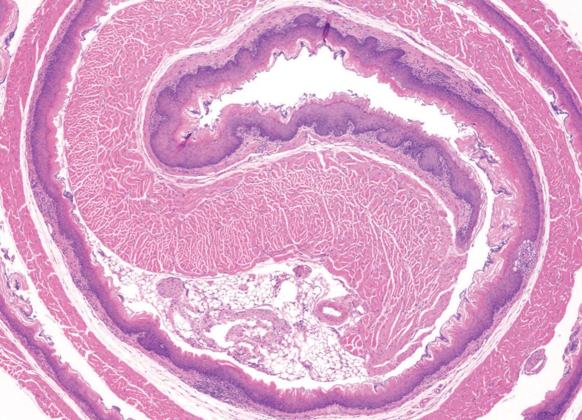
Glutathione peroxidases (GPXs) are essential antioxidant enzymes that protect cells from oxidative damage by reducing hydrogen peroxide and organic hydroperoxides. Abnormal production of reactive oxygen species (ROS) is thought to contribute to eosinophilic esophagitis (EoE) pathogenesis, however, ROS regulation in EoE is poorly defined.
Our lab has shown that GPX3, an extracellular selenoprotein, is reduced in patients with EoE. Furthermore, Gpx3 knockout mice demonstrate histological features of EoE that include basal cell hyperplasia, epithelial proliferation, and subepithelial fibrosis. We are investigating the underlying mechanisms behind GPX3’s contributions to epithelial remodeling, esoinophil recruitment, and fibrosis, with the aim of identifying new EoE therapeutics.
Identifying mechanisms of eosinophil protection from esophageal cancer
Our group has identified eosinophils as protective in the development of esophageal cancer directly and indirectly by influencing the behavior of surrounding cells. Currently, we are investigating the mechanisms by which eosinophils are toxic to tumor cells and how we can harness this therapeutically.


Determining the role of the selenocysteine tRNA in T cell development and function
Selenium compounds are synthesized into the amino acid selenocysteine, which is incorporated into selenoproteins by the selenocysteine-specific tRNA (tRNASec) with help from specialized translation factors. Many selenoproteins neutralize reactive oxygen species and thus help to control intracellular redox state.
As T cell signaling both requires and generates reactive oxygen species, we hypothesized that antioxidant selenoproteins modulate T cell function. Indeed, selenoprotein deficiency (via deletion of the tRNASec gene Trsp) in CD2+ cells prevented normal T cell development, in CD4+ cells impaired T cell signaling, and in FOXP3+ cells led to severe, fatal autoimmunity. We’re currently investigating the mechanisms underlying these phenotypes.