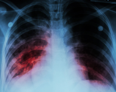
A chest x-ray shows alveolar infiltration at both lung due to mycobacterium tuberculosis infection

Eduardo Amaral is a Research Fellow at NIAID in Alan Sher’s laboratory and visited the Vanderbilt Tuberculosis Center April 12-14, 2023 to present at the VI4 Annual Symposium and meet with TB Center faculty members. He is from Brazil, and has worked with Bruno Andrade, who is an adjunct Vanderbilt faculty member and co-PI of RePORT-Brazil. Eduardo is a biomedical researcher with a focus on the fields of TB immunology, cell death modalities, and cellular metabolism. He has experience in animal model and in vitro approaches for studying the molecular mechanisms underlying innate and adaptive immune responses to M. tuberculosis and other mycobacteria.

Submitted by theresa.lauren… on