Jon Brown Lab

A research laboratory at Vanderbilt University Medical Center
Inflammation and stress signaling are critical determinants of cardiovascular and metabolic disease. Ultimately, these pathways converge in the nucleus to change chromatin structure and activate pathologic gene expression.
A primary focus of the Jon Brown Lab is to study how specific transcription factors and coregulators control these abnormal gene expression programs in cardiometabolic disease and aging. In particular, the lab seeks to understand how chromatin-dependent signaling drives transcriptional programs that change cell state.
Current Projects
Drugging the epigenome to reverse pathologic cell states
Our lab is proud to be part of the Division of Cardiovascular Medicine at Vanderbilt University Medical Center. Within this interdisciplinary scientific environment our research explores how chromatin-dependent signaling drives vascular, cardiac and metabolic diseases.

Vascular and Cardiac Aging
Age is a major risk factor for cardiovascular disease. Hutchinson-Gilford Progeria Syndrome is a rare genetic disease involving the Lamin A (LMNA) gene that results in premature vascular aging and atherosclerosis early in life.
This project aims to understand the transcriptional regulation of inflammation and develop novel therapies targeting these inflammatory pathways and production of the mutant lamin protein. In addition, ongoing work is exploring how progerin dysregulates transcription and gene expression via alterations in chromatin structure.
(Image courtesy of The Progeria Research Foundation).
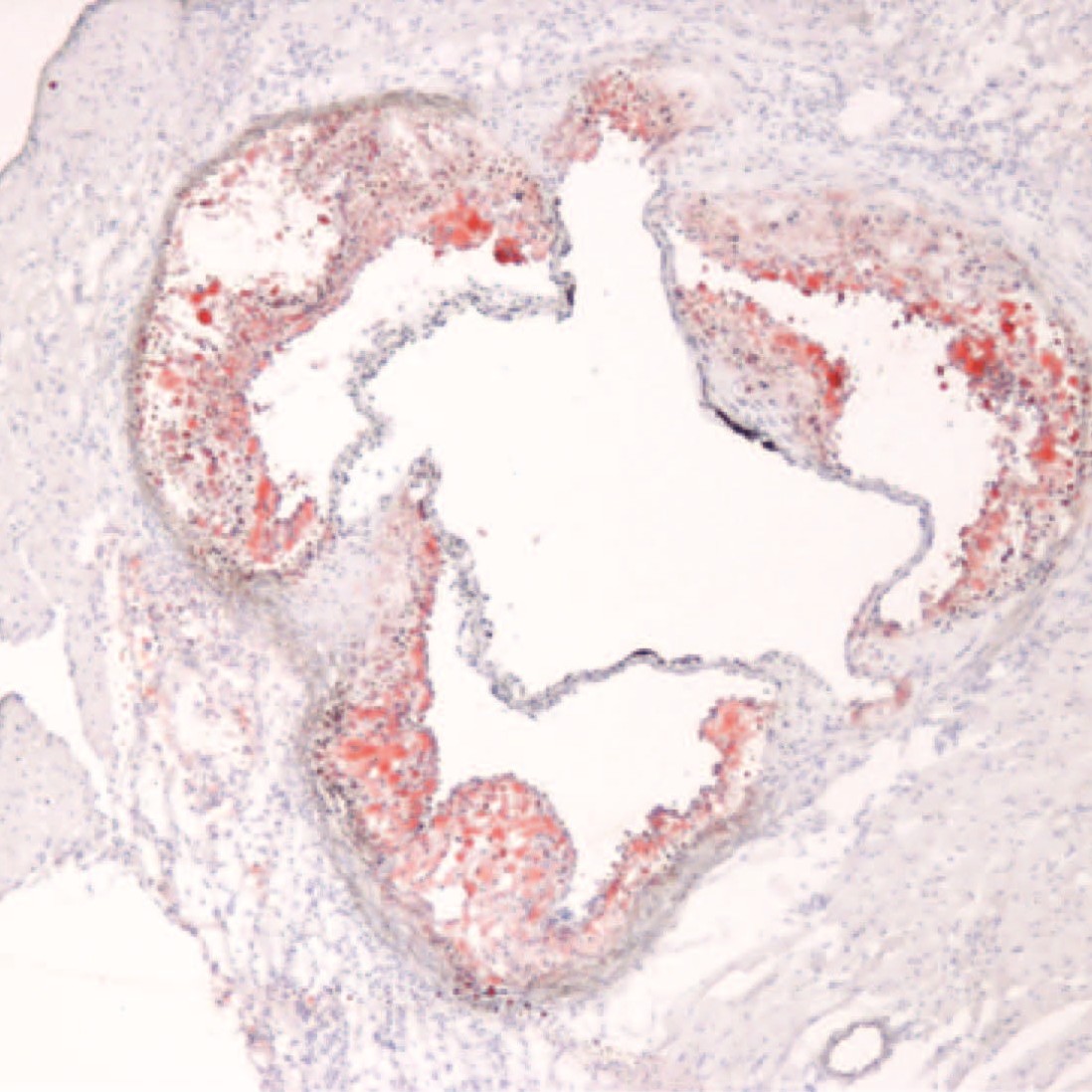
Inflammation, Immune Training and Atherosclerosis
Inflammation is a central pathogenic mechanism that drives atherosclerosis. Our group has identified that BET bromodomain-containing proteins—bona fide transcriptional coactivators—regulate the inflammatory cell state in atherosclerosis.
More recent work has identified that synergy between cytokine signaling pathways is dependent on BET bromodomain function. A major focus now is understanding how chronic inflammation is activated by CV risk factors such as hypertension and hypercholesterolemia through a process involving trained immunity.


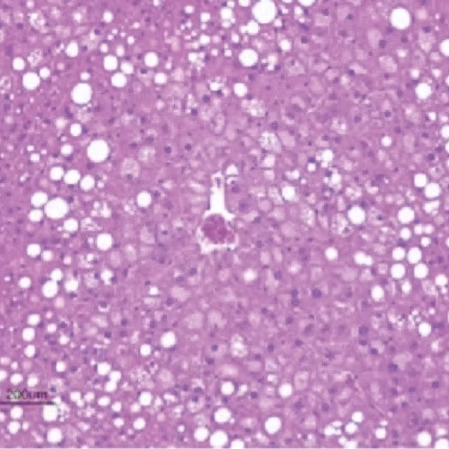
Core Regulatory Circuitry in Fatty Liver Disease
Metabolic Dysfunction-Associated Steatotic Liver Disease (MASLD) is one of the most common causes of cirrhosis in Western society. In addition, MASLD is associated with multiple systemic effects including insulin resistance, obesity and cardiovascular disease.
Recent work from our group leveraging human MASLD biopsy samples has discovered previously unrecognized transcription factors governing fibrosis in the liver, including zinc finger 469. A major focus of this project is examining the underlying mechanisms for how these transcription factors drive profibrotic gene regulation in hepatic stellate cells specifically and the liver more generally.
Funding Support
The Jon Brown Lab is proud to receive funding support for our research programs from:
Cool Stuff from the Lab

Single Cell RNA-SEQ
Exploring gene expression in disease at the single cell level

Targeted Protein Degradation
Using degron tags to disrupt protein function.

Transcription Control
Dissecting cell states in disease
Mice Editing DNA
Artistic rendering of mice modifying DNA by former Jon Brown Lab member Lindsay Davison.